インプラント前歯
Profile 基礎情報
| 年齢 | 30代 |
|---|---|
| 性別 | 男性 |
| 主訴 | 前歯が取れたということで来院。客観的評価としましては、残った歯質の状態が悪く、再び被せ物を装着してもすぐに外れてしまうことが予想されましたので、患者様とお話をしてインプラント治療をすることとしました。 |
| 治療内容 | 左側上顎中切歯のインプラント治療・結合組織移植・骨造成を行いました。歯の幅の調整のために反対側にはレジン重点を行っております。 |
Preoperative 術前
術前写真

今回の症例の問題点

①歯の正中離開(歯のサイズ・歯の並びに起因する)
②歯の長さの違いに伴う歯肉の高低差が存在する
レントゲン写真

Planning3Dシミュレーション
インプラント埋入の為の3Dシュミレーション

インプラント診断用ソフトを使用し、インプラントを埋入する最適な位置を正確に決定します。
その後、サージカルテンプレートを使用してインプラントの埋入を行います。

Postoperative 術後
術後写真


治療のリスクと副作用
| 治療費 | 660,000円(税込) |
|---|---|
| リスク | インプラント周囲炎のリスクはありますが、定期検診やセルフケアにて未然に防ぐことができると考えます。 |
インプラント臼歯
Profile 基礎情報
| 年齢 | 50代 |
|---|---|
| 性別 | 女性 |
| 主訴 | 虫歯によって歯の大部分を削合したことで歯質が薄くなり破折に至りました。 |
| 治療内容 | 右上奥歯が折れて来院され、ご相談の上インプラン治療を行うことになりました。 今回は抜歯と同時に骨を造る処置を行いました。 |
Preoperative 術前
術前写真

レントゲン写真

虫歯によって歯の大部分を削合したことで歯質が薄くなり破折に至ったと考えます。
抜歯を行う前に、事前にインプラントをどのタイミングで埋入するかを決定することが非常に重要です。
今回は抜歯と同時に骨を造る処置を行いました。
Intraoperative 治療中
抜歯・Socket Graft(骨を造る処置)

抜歯と同時にソケットグラフトをしています。この処置により、インプラント埋入時の骨造成が必要無くなったり、必要であったとしても規模が少なくなるので術後の合併症のリスクが減少します。
socket Lift ・インプラント埋入(抜歯から5ヶ月後)

抜歯した部分が骨で満たされていることが分かります。ほぼプラン通りに埋入がされています。骨の高さが不足していたためマイクロスコープ下にて上顎洞内に骨増生(ソケットリフト)をしています。
Postoperative 術後
術後写真

フルジルコニアスクリューリテイン装着しました。
治療のリスクと副作用
| 治療期間 | 8ヶ月 |
|---|---|
| 治療費 | 621,500円(税込) |
| リスク | インプラント周囲炎や上部構造の破折などのリスクがありますが、埋入ポジションや定期的なメンテナンス等で防ぐことが可能です。 |
インプラント全顎
Profile 基礎情報
| 年齢 | 50代 |
|---|---|
| 性別 | 女性 |
| 主訴 | 生涯審美的で機能的な口腔内を維持していきたい。 |
| 治療内容 | 矯正治療により歯列を整えることで噛み合わせを安定させ、欠損部分にインプラント・また審美的に綺麗にして虫歯にもしづらくなる適合の良いセラミック治療を行いました。 |
Preoperative 術前
術前写真


上顎:上顎右側奥歯の3本が抜歯となります
下顎:下顎右側奥歯2本と下顎左側奥歯1本が抜歯となります
上下ともに歯列不正があり、それによる奥歯の崩壊の予防と審美性・機能性。永続性の獲得ために矯正治療が必要となる
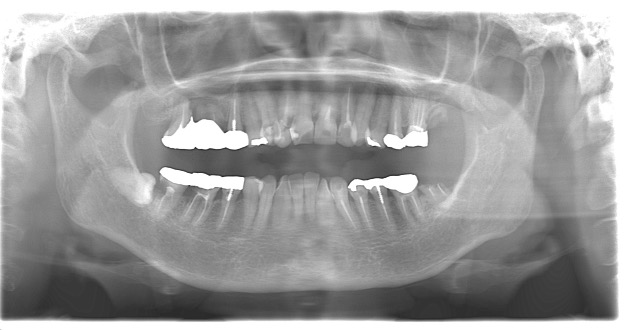
パノラマX線・レントゲン写真




多数歯にわたり虫歯の治療を行なった形跡がある。
これはセルフケア・治療方法の限界・噛み合わせによるものと考えられます。
Postoperative 術後
術後写真


パノラマX線

歯列の改善が認められ、欠損部分には必要な本数のインプラントを埋入しました。
咬合の安定と審美性の向上のためにセラミックにて被せ物を装着しています。
治療のリスクと副作用
| 治療期間 | 4年 |
|---|---|
| 治療費 | 5,500,000円(税込) |
| リスク |
治療後はメインテナンスを行い、問題を未然に防いでいくことが大変重要になります。 |
| 総評 |
今回の治療の大きな利点は、生涯審美的で機能的な口腔内を維持していくことにあります。ただ歯を失った部分にインプラント治療を行うだけでは、歯根破折や齲蝕などにより今後も歯を失うリスクが高く、場合によっては歯列不正により治療が困難になる場合が考えられました。そこで、矯正治療により歯列を整えることで噛み合わせを安定させ、欠損部分にインプラント・また審美的に綺麗にして虫歯にもしづらくなる適合の良いセラミック治療を行いました。そうすることで予知性が高まるとともに、万が一トラブルが起きても対応がしやすくなるために治療が簡略化されます。治療後はメインテナンスを行い、問題を未然に防いでいくことが大変重要です。 |


